Swallow Image with Goldin+Senneby

October 23, 2025
Event Types
Special Program
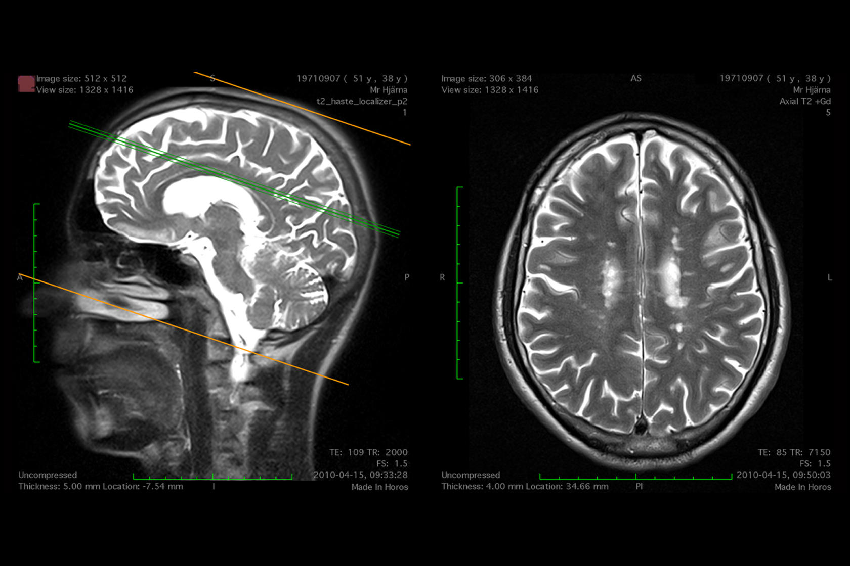
Black and white MRI scans of a human head in both profile and aerial view.

Goldin+Senneby, Spot Price: Tysabri (Biogen), 42.22mm, 2010/2023. KADIST Collection. Courtesy the artist

Location
Bartos Theatre 20 Ames Street, Bldg. E15 Atrium level Cambridge, Massachusetts 02139
Day & Time
-
Admission
Free, but registration required.

The MIT List Visual Arts Center will host a performative lecture with Goldin+Senneby in celebration of the opening of Goldin+Senneby: Flare-Up.  

Swallow Image is a conversation about images of illness and the revision of reality by drug companies.

At the beginning of the new millennium, Jakob Senneby squinted at a grayscale image of his brain while a doctor traced a series of white blobs on the screen. His doctor told him that these figures, captured by an MRI scan, were “white spots”: signs of damage to the nervous system that are associated with multiple sclerosis. In the following years, Senneby—one half of the artist duo Goldin+Senneby—cycled through experimental and largely ineffectual treatments, tracking the progress of the disease with each scan, with each crop of “attacks” launched by his immune system. As he lost faith in the drugs, Senneby learned that the white spots have proven to be a source of immense, hidden value: a booming economy is based on visualizing, counting, and measuring the spots in the development of pharmaceuticals. The drugs have become more and more successful in treating the white spots in the image, but not in addressing the onset of permanent disability—the most critical consequence of the disease. Nevertheless, the value of the market for treatments has reached nearly $30 billion per year.

For Swallow Image, Goldin+Senneby will give a presentation on the evolution of “sick images”—depictions of illness that obscure the accounts of patients—and the lucrative market for MS drugs. The event picks up on Triple Canopy’s publication of two related works by Goldin+Senneby: "Spot Price," a blockchain-based artwork that links scans of Senneby’s diseased brain to the value of the drugs targeting such images; and “Regions of Interest,” an essay on living as a medical specimen and source of profit for drug companies.

Following the program, please join us for the opening reception of the fall exhibitions, Goldin+Senneby: Flare-Up, American Artist: To Acorn, and List Projects 33: Every Ocean Hughes.

Space is limited, and seating will be on a first come and first served basis. Walk-ins will be accommodated as space allows. To ensure a seamless experience for all guests, doors will close promptly at 5:45 pm and there will be no late entry.